Case Studies
Fixed Sagittal Plane Deformity
Your download will start automatically once you have provided the following information:
“SI-BONE is constantly innovating to improve outcomes with pelvic fixation in adult deformity patients”
*Consultant for SI-BONE Inc.
- Provider
- Jay Turner, MD, PhD*
- Speciality
- Associate Professor, Neurosurgery Barrow Neurological Institute
- Facility
- Barrow Neurological Institute
- Bio
-
Medical School: New Jersey Medical School
Doctorate: Rutgers – New Jersey Medical School
Graduate School: Rutg... More
Case Details
- Condition
- Spinopelvic Fixation
- Product(s)
-
iFuse 3D
- Patient
- 69 y/o female
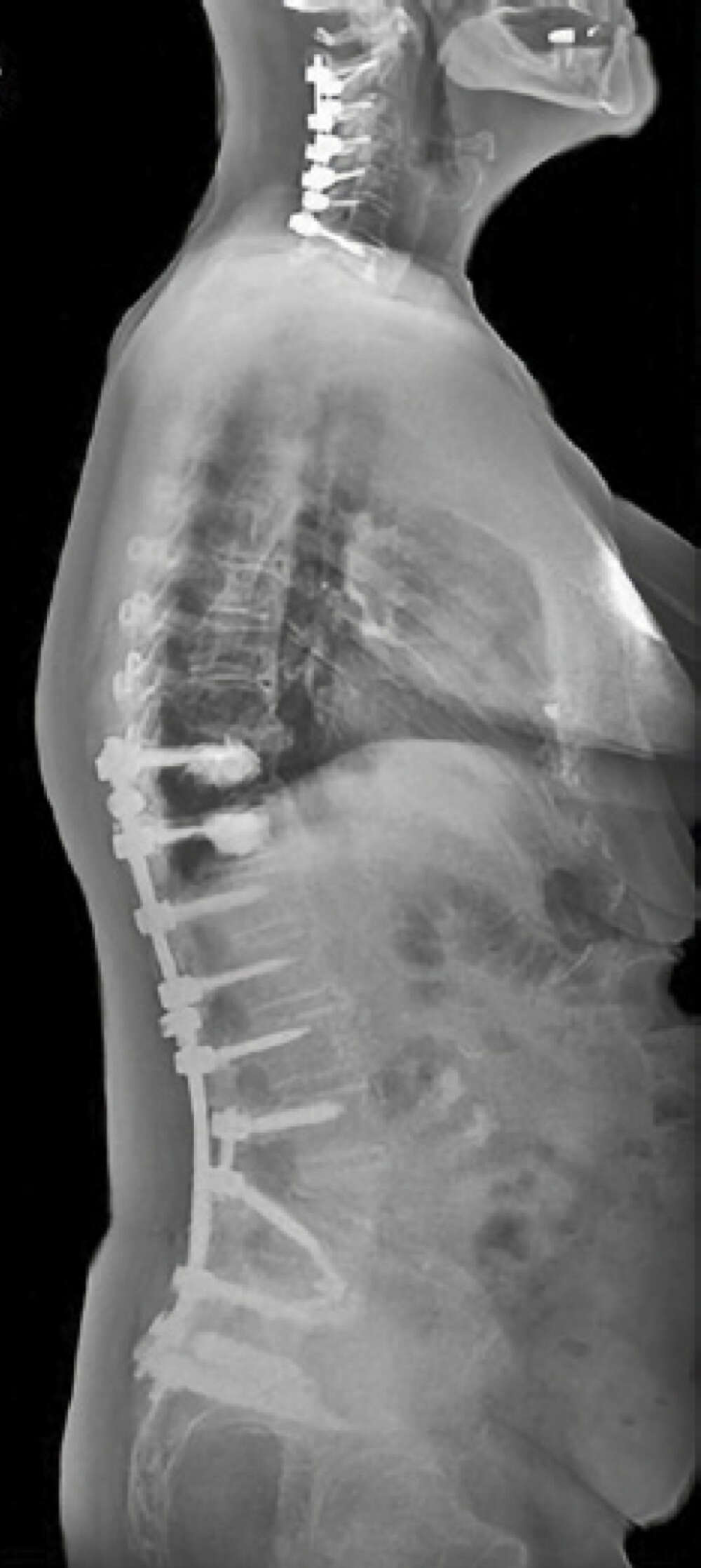
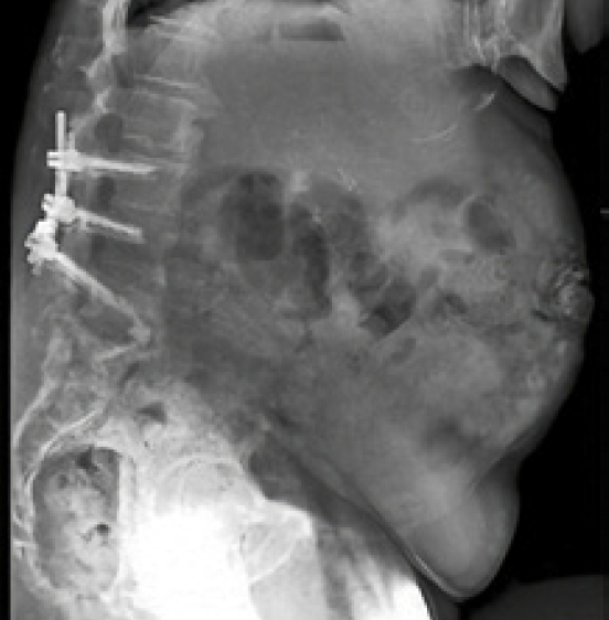
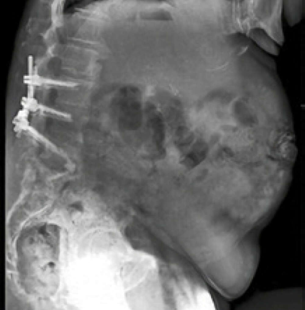
Fixed Sagittal Plane Deformity1
Patient History:
- 69 y/o female with history of multiple prior spine surgeries including L3-S1 fusion
- Presented with progressive pain and disability from sagittal plane deformity
- Symptomatic SI joint arthropathy likely accelerated by her prior lumbosacral fusion. 4/5 provocative maneuvers positive. Positive response to SI injection
- Failed to improve with exhaustive non-surgical management including PT and injections
Surgical Treatment:
- T10-pelvis posterior fixation and fusion
- L4 pedicle subtraction osteotomy (PSO)
- Bilateral placement of iFuse 3DTM implants using the Bedrock® technique
- Four points of SIJ fixation
Post-op:
- PI-LL: 43° to 7°, C7-SVA: 24cm to 5cm
- Back and SI joint pain improved post-operatively. Improvement persisted at 2 years.2
1Patient results may vary.
2Clinical results consistent with early SILVIA (NCT04062630) trial outcomes. SI-BONE data on file.
Healthcare professionals should refer to the Instructions For Use for indications, contraindications, warnings, and precautions at https://si-bone.com/label.
There are potential risks associated with iFuse procedures. They may not be appropriate for all patients and all patients may not benefit.
For information about the risks, visit https://si-bone.com/risks.