Learn about all of our Solutions
Sacropelvic Solutions for SI Joint Dysfunction.
The iFuse Implant is the only device for treatment of SI joint dysfunction that is supported by significant published clinical evidence.
Dr. Paul Krafft uses stacked iFuse Bedrock Granite® in the SAI trajectories as well as in the S1 pedicle trajectory during a short construct revision case.
Review Case Study
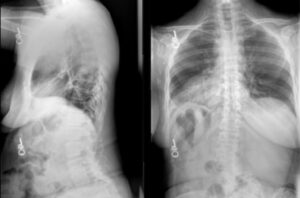
Dr. Paul Krafft places iFuse Bedrock Granite® in the S1 pedicle and S2AI trajectories following L5-S1 hardware loosening and pseudarthrosis.
Dr. Robert Eastlack performs L2-pelvis fusion with iFuse TORQ® and iFuse Bedrock Granite® for spinopelvic stabilization and SI joint fusion.
Dr. Jay Turner performs T10-pelvis fixation utilizing 4 iFuse Bedrock Granite® implants to provide multiple points of fixation to the pelvis.
Looking for Answers?
We can help. Tell us what you're looking for below.