Learn about all of our Solutions
Sacropelvic Solutions for SI Joint Dysfunction.
The iFuse Implant is the only device for treatment of SI joint dysfunction that is supported by significant published clinical evidence.
Dr. Brian Cunningham uses two iFuse TORQ TNT® implants for sacral fracture fixation and SI joint fusion following low-energy ground-level falls.
Review Case Study
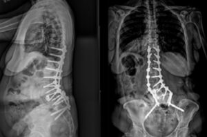
Dr. Brian Cunningham treats a sacral insufficiency fracture with iFuse TORQ TNT® and iFuse TORQ® implants for fracture fixation and SI joint fusion.
Dr. Paul Krafft uses stacked iFuse Bedrock Granite® in the SAI trajectories as well as in the S1 pedicle trajectory during a short construct revision case.
Dr. Paul Krafft places iFuse Bedrock Granite® in the S1 pedicle and S2AI trajectories following L5-S1 hardware loosening and pseudarthrosis.
Dr. Daniel Denis treats Post Lumbar Fusion SI joint dysfunction with bilateral SI joint fusion using iFuse 3DTM
Dr. Malcolm R. DeBaun performs percutaneous SI joint Fixation using 2 iFuse TORQ® implants.
Dr. Malcolm DeBaun places bilateral iFuse TORQ® implants for sacral U-type fracture fixation.
Dr. Robert Eastlack uses bilateral iFuse 3DTM implants in the Bedrock trajectory to supplement spinopelvic fixation and provide permanent SI joint stabilization and fusion.
Dr. Robert Eastlack performs L2-pelvis fusion with iFuse TORQ® and iFuse Bedrock Granite® for spinopelvic stabilization and SI joint fusion.
Dr. Robert Eastlack performs T10-pelvis posterior fusion with iFuse 3DTM in the Bedrock trajectory for SI joint stabilization.
Dr. Reza Firoozabadi places bilateral ilio-sacral style iFuse TORQ® implants for sacral U-type fracture fixation.
Dr. Reza Firoozabadi utilized iFuse TORQ® implants to achieve excellent purchase in a patient with poor bone quality and a sacral U-type fracture.
Dr. James Fleming performs SI joint fusion using iFuse 3DTM to treat SI joint dysfunction post-lumbar fusion.
Dr. James Fleming performs SI joint fusion using iFuse 3DTM to treat chronic pelvic girdle pain.
Dr. Robert Limoni uses iFuse TORQ® to treat SI joint pain that was misdiagnosed as hip pain for 10 years.
Dr. Jay Turner performs T10-pelvis fixation utilizing 4 iFuse Bedrock Granite® implants to provide multiple points of fixation to the pelvis.
Dr. Jay Turner performs T10-pelvis fixation utilizing iFuse 3DTM in the Bedrock trajectory to provide multiple points of SI joint fixation.
Dr. Michael Gardner treats bilateral sacral insufficiency fractures with iFuse TORQ® implants.
Looking for Answers?
We can help. Tell us what you're looking for below.